Bvd. 1 Mai, nr.9, bl M19, Craiova

Chirurgia presupune o serie de interventii in sfera dento-maxilara, care reprezinta fie tratamentul de baza in cazul unor situatii, fie tratamentul de sustinere in alte cazuri. Protocolul nostru chirurgical urmareste sa asiguram lipsa durerii, timpi interventionali cat mai mici posibil, sisteme de magnificatie pentru marirea campului operator, instrumentar chirurgical si tehnici practicate pentru interventii de minima-invazivitate pentru obtinerea unui discomfort postinterventie cat mai mic, dar si obtinerea unui rezultat  cat mai biologic si estetic.

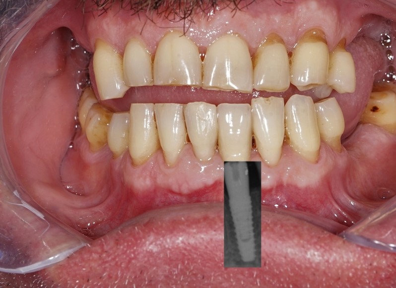
Implantul dentar reprezinta solutia optima din ce in ce mai mult practicata de tratament a lipsei unuia sau mai multor dinti. Fiecare caz de implant dentar sau interventie chirurgicala este initiat prin evaluarea starii generale de sanatate, examinarea clinica a zonei de interventie, examinarea radiologica prin radiografie conventionala si/sau tomografie computerizata speciala dento-maxilara, dar si fotografii clinice pentru analiza detaliata prechirurgical.