Bvd. 1 Mai, nr.9, bl M19, Craiova

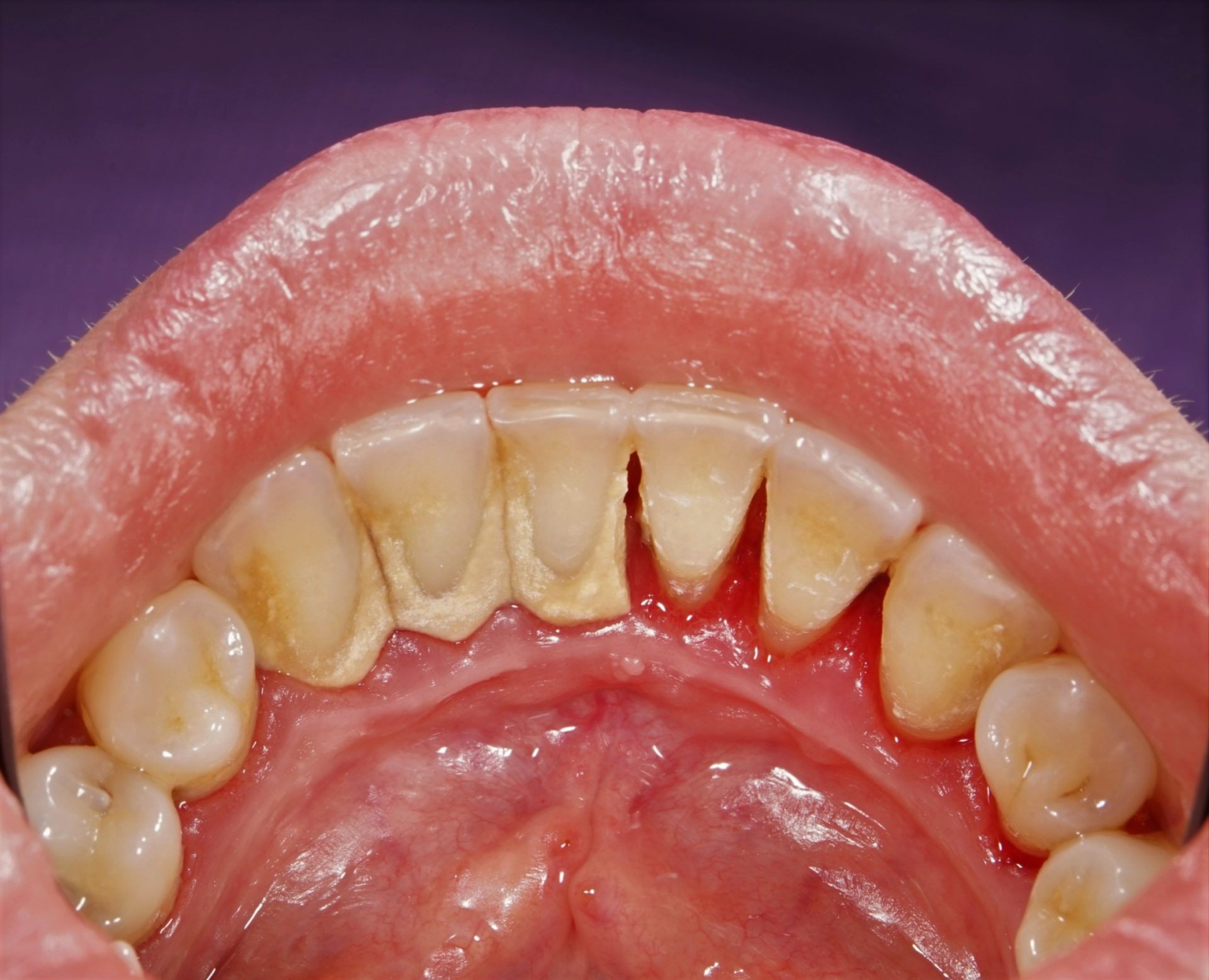
Profilaxia inseamna sanatate dentara! Controale periodice la medicul stomatolog, recomandabil la 4-6 luni, igienizarea dintilor cu ultrasunete, periaje profesionale si air-flow cu aparate speciale, tratarea cariilor incipiente,educatia in ceea ce priveste o igiena dentara corect executata acasa, este tot protocolul nostru pe care-l oferim fiecarui pacient . Cand vorbim despre starea de sanatate orala, nu ne referim doar la a avea dinti intacti, ea fiind parte integranta a sanatatii generale ce cuprinde elemente din intreaga cavitate bucala cu implicatii majore la nivelul intregului organism.Studiile arata in mod semnificativ corelatii ale sanatatii aparatului dento-maxilar cu patologii, de exemplu, ale sistemului digestiv,cardio-vascular, endocrinologic, statusul nostru mental.